
VIDEO Cum se tratează mielomul multiplu, un cancer rar de sânge - Newsweek LIVE
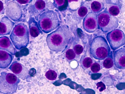
Mielomul multiplu este o formă incurabilă, rară și foarte agresivă de cancer al sângelui, care afectează măduva osoasă.
Mielomul multiplu este o formă incurabilă, rară și foarte agresivă de cancer al sângelui, care afectează măduva osoasă.
Românii au făcut într-o săptămână ceea ce statul nu a reușit în ani de zile: au donat suficienți bani cât să fie cumpărate două ambulanțe esențiale pentru Spitalul pentru Copii „Grigore Alexandrescu” din București.
Cel mai spectaculos drum din România este pregătit pentru redeschiderea completă, după ce a trecut printr-o deszăpezire de proporții epice.
Croatul Bruno Kovacic a fondat o companie de soft engineering cu care a lucrat multă vreme pentru companii din Statele Unite. Însă planurile s-au schimbat pe parcurs.
„Astăzi am avut o şedinţă şi astăzi putem să vedem cum vom reveni la normalitate", a spus premierul Florin Cîţu la Palatul Victoria.
Facebook a început se testeze o aplicaţie de dating, numită Spark, ce ar urma să funcţioneze în afara reţelei sale sociale, punând accentul pe video.
În Republica Moldova sunt îndeplinite toate condițiile pentru alegeri anticipate, iar noul președinte Maia Sandu speră ca prin vot să schimbe componența actualului Parlament, considerat cel mai corupt din ultimii 30 de ani.
Guvernul are un scenariu pesimist și unul optimist în ceea ce privește campania de vaccinare, a explicat premierul Florin Cîțu în cadrul interviului acordat Newsweek LIVE.