Imperial College London: Creierul unor pacienți cu forme grave de Covid-19 îmbătrânește cu zece ani

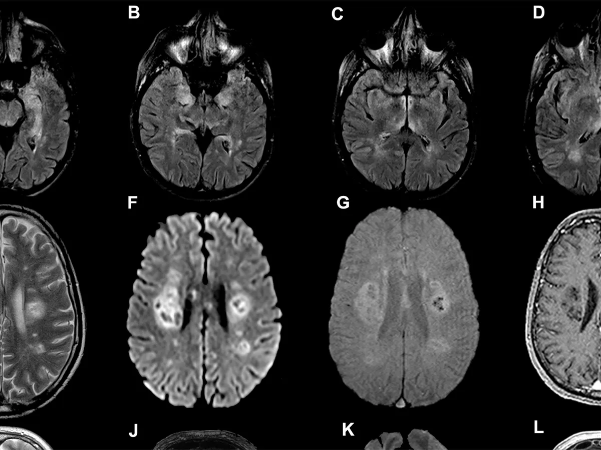
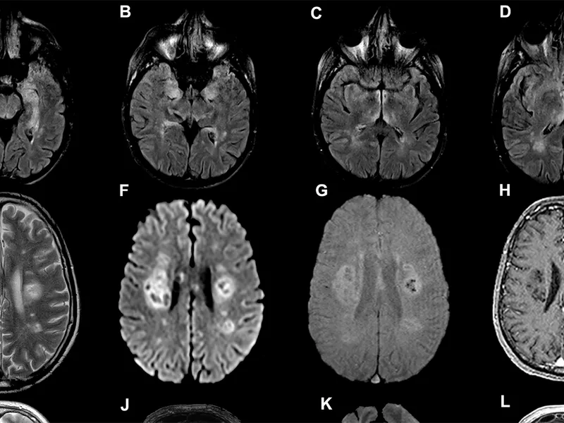
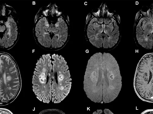
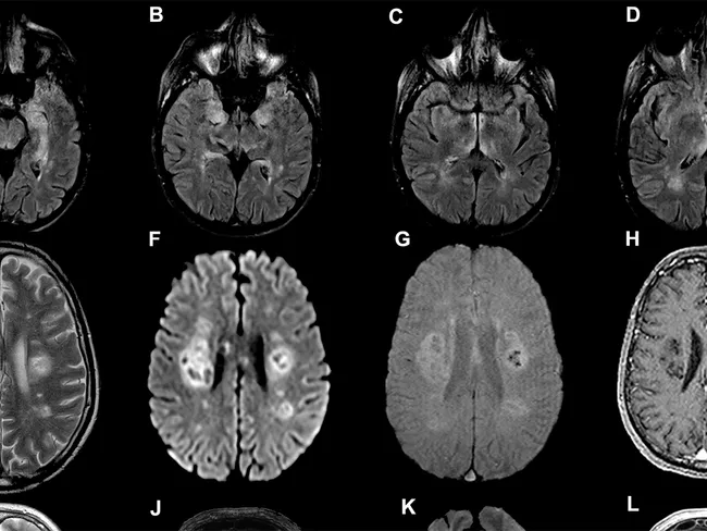
Persoanele care se recuperează după boala COVID-19 pot suferi efecte semnificative asupra funcției creierului, cele mai grave cazuri de infecție fiind legate de declinul mintal echivalent cu îmbătrânirea creierului cu zece ani, au avertizat cercetătorii britanici de la Imperial.
Un studiu care nu are evaluare internațională, pe mai mult de 84.000 de persoane, condus de Adam Hampshire, medic la Imperial College London, a constatat că, în unele cazuri severe, infecția cu coronavirus este legată de deficite cognitive substanțiale timp de luni de zile.
„Analizele noastre se aliniază opiniei că există consecințe cognitive cronice ale COVID-19”, au scris cercetătorii într-un raport. „Oamenii care și-au revenit, inclusiv cei care nu mai raportează simptome, au prezentat deficite cognitive semnificative.”
Testele cognitive măsoară cât de bine îndeplinește creierul sarcini cum ar fi amintirea cuvintelor sau îmbinarea punctelor pe un puzzle. Astfel de teste sunt utilizate pe scară largă pentru a evalua performanța creierului în boli precum Alzheimer și pot ajuta, de asemenea, medicii să evalueze tulburările cerebrale temporare.
Echipa din Hampshire a analizat rezultatele a 84.285 de persoane care au completat un formular Great British Intelligence Test. Constatările, care nu au fost încă revizuite de alți experți, au fost publicate pe site-ul MedRxiv.
Cu toate acestea, oamenii de știință care nu au fost implicați direct în studiu au spus că rezultatele ar trebui privite cu o anumită prudență.
„Funcția cognitivă a participanților nu a fost cunoscută pre-COVID și rezultatele nu reflectă, de asemenea, recuperarea pe termen lung - astfel încât orice efect asupra funcțiilor creierului poate fi pe termen scurt”, a spus Joanna Wardlaw, profesor de neuroimagistică aplicată la Universitatea din Edinburgh.
„Dacă cercetătorii vor vrea să înțeleagă mai bine impactul pe termen lung al COVID, va fi important să investigheze în continuare măsura în care este afectată funcția cognitivă în săptămânile și lunile de după infecție și dacă se produc leziuni permanente ca rezultat al bolii la unele persoane”, a subliniat Derek Hill, profesor de științe imagistice medicale la University College London.