
Pacienții vindecați de coronavirus pot avea sechele și trebuie reevaluați periodic
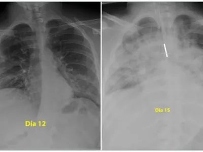
Vindecarea de infecția cu noul coronavirus se face, de cele mai multe ori, cu sechele, iar aceste sechele trebuie reevaluate periodic, avertizează Beatrice Mahler și Florin Roșu, medici care lucrează în spitale aflate în prima linie în lupta cu virusul, într-o dezbatere HotNews .