miercuri 29 octombrie
EUR 5.0829 USD 4.3643
Abonează-te
Newsweek România

Covid-19: Cum se degradează plămânii unui tânăr de 28 de ani în 3 zile

Data publicării: 26.03.2020 • 08:29 Data actualizării: 26.03.2020 • 08:33

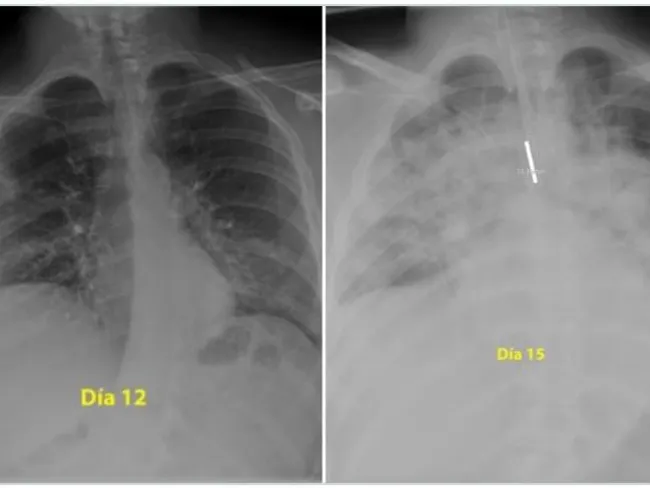
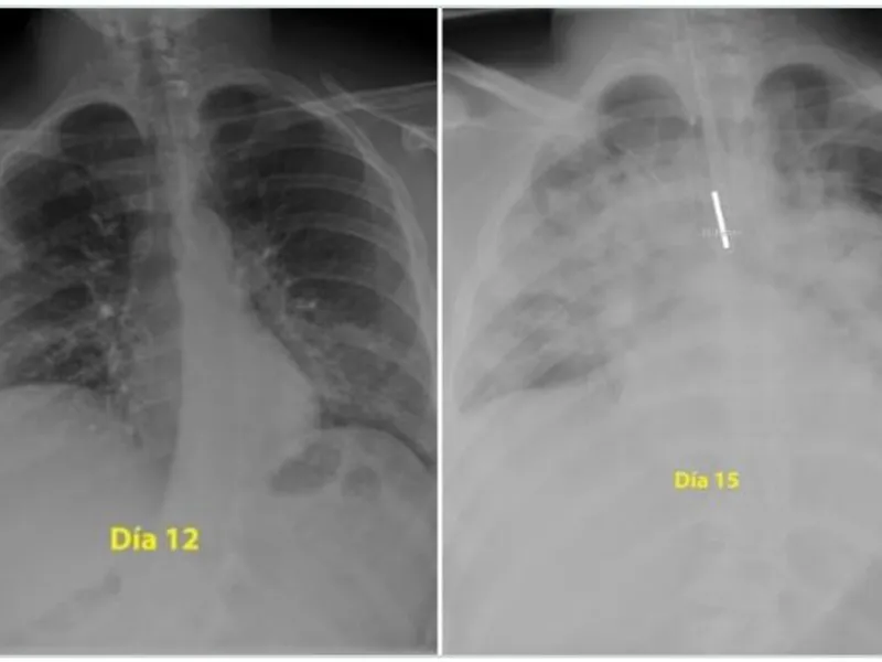
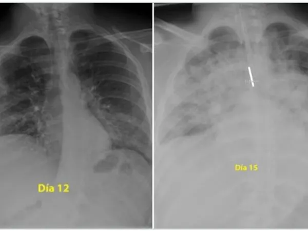
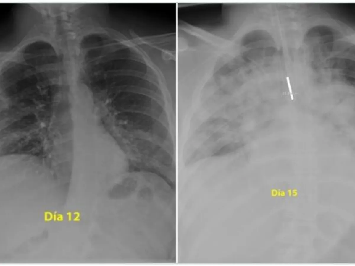
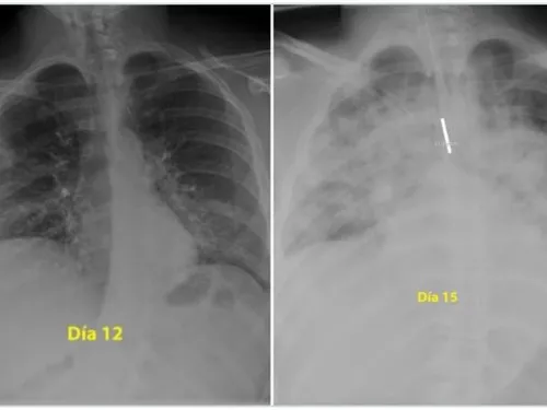
Un medic pneumolog din Spania a postat pe Twitter două radiografii care arată cum s-au degradat, în numai trei zile, plămânii unui tânăr de 28 de ani care a făcut o formă gravă de Covid-19.

Prima fotografie este în a 12-a zi de boală a tânărului, a doua îi înfățișează plămânii în a 15-a zi de boală.

„Pentru cei care cred că sunt nemuritori și continuă să iasă în parc fără să acorde atenție ordinului de a rămâne acasă, acestea sunt radiografiile unui băiat de 28 de ani intubat la Terapie Intensivă în spitalul meu, pentru #coronavirus. Indiciu: plămânii sunt negri, albul este pneumonie”, a scris medicul pe Twitter, potrivit Digi24.

Dr. Beatrice Mahler, managerul Institutului de pneumoftiziologie Marius Nasta din București, a confirmat la Digi24 că poate exista o degradare severă și accelerată a plămânilor în cazul formelor grave de infectare cu SARS-CoV-2.

„E vorba de sindrom de depresie respiratorie acută, este forma severă de pneumonie, care necesită intubație, ventilație mecanică. Din păcate, răspunsul este da, atât de repede și de dramatic li se întâmplă nu numai bătrânilor, ci și tinerilor, tuturor”, a spus Beatrice Mahler.

„Atunci când ajungem la o formă severă de boală, atunci când vorbim de o agresiune asupra plămânului și de un sindrom de detresă respiratorie acută, manifestarea este identică. Vârsta poate să fie un avantaj în sensul că poate să ajute să depășim acel moment, dacă suntem într-o secție de terapie intensivă, suntem ventilați mecanic, pentru că toate celelalte organe se presupune că sunt sănătoase și pot să susțină momentul critic prin care trece organismul. De aceea, rata de mortalitate este mai mare la cei vârstnici, pentru că boala apare pe un organism bolnav, cu o inimă care are probleme, un ficat bolnav, și atunci depășirea momentului este critică”, a explicat managerul Institutului Marius Nasta.

Mai multe articole din secțiunea Actualitate

Comentarii 0
Trebuie să fii autentificat pentru a comenta!

Newsweek România Abonamente

Print

Print

  • Revista tipărită
  • Acces parțial online
  • Fără reclame
Abonează-te
Print + Digital

Print + Digital

  • Revista tipărită
  • Acces total online
  • Acces arhivă
  • Fără reclame
Abonează-te
Digital

Digital

  • Acces total online
  • Acces arhivă
  • Fără reclame
Abonează-te
Newsweek România
Articole și analize exclusive pe care nu trebuie să le ratezi!
Abonează-te
Newsweek România

Newsweek România Ultima oră

Newsweek România
Ultima oră