Ce este acupunctura cu fire de aur? Medicii au găsit o adevărată comoară în corpul unei paciente
Acupunctura cu fire de aur este o terapie alternativă folosită mai ales în țările asiatice. Dar medicina n-a conformat până acum vreun beneficiu real al acestei proceduri. Cu atât mai mare a fost surpriza medicilor după ce au văzut radiografia genunchilor unei paciente.
O femeie de 65 de ani care a apelat la acupunctura cu fire de aur a ajuns, finalmente, pe mâna medicilor, pentru tratarea osteoartrita genunchiului de care suferea.
Cazul, petrecut în Coreea de Sud, i-a pus pe doctori în fața unei mari surprize, aceștia descoperind în ujrma radiografiilor făcute sute de fire de aur pur inserate în picioarele pacientei.
Acupunctura cu fire de aur, o terapie alternativă controversată
Pacienta, al cărei nume nu a fost dezvăluit, suferea de dureri severe și rigiditate la genunchi din cauza osteoartritei și i se prescriseseră analgezice, antiinflamatoare și chiar injecții cu steroizi direct în genunchi.
Dar niciunul dintre aceste tratamente nu s-a dovedit suficient de eficient pentru a-i permite să ducă o viață normală, fără dureri.
Nu numai că durerea nu a dispărut, dar femeia a dezvoltat efecte secundare negative din cauza medicamentelor, inclusiv dureri severe de stomac.
Citește și: Tânără bolnavă de leucemie, moare cu zile. Părinții au refuzat chimioterapia. O tratau cu vitamina C
În consecință, aceasta a decis să încerce medicina alternativă, mai precis, o procedură controversată cunoscută sub numele de acupunctură cu fire de aur.
La început, femeia a urmat sesiuni săptămânale de acupunctură în care i s-au inserat fire minuscule de aur în jurul genunchilor.
Însă, acest lucru nu a făcut decât să-i agraveze durerea de osteoartrită, așa că a crescut frecvența vizitelor la acupuncturist la câteva ori pe săptămână.
În cele din urmă, durerea din genunchi a devenit atât de puternică încât nu a avut de ales decât să se întoarcă la spital.

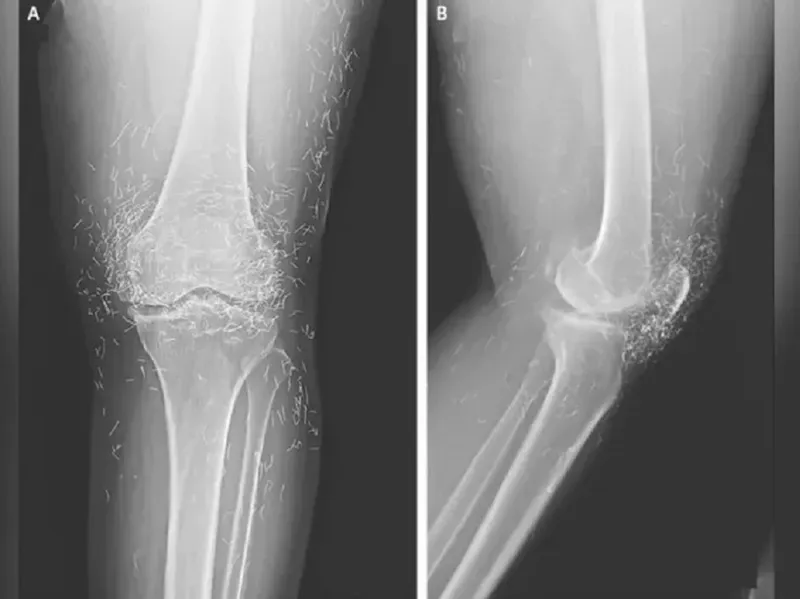
Radiografia genunchilor pacientei a arătat sute de fire de aur aflate în ei - Foto: The New England Journal of Medicine
O radiografie a relevat o îngroșare și o întărire a părții interne a tibiei, excrescențe osoase în genunchi - toate simptome comune ale osteoartritei - dar și sute de fire minuscule de aur încorporate în țesutul din jurul genunchiului, scrie odditycentral.com.
Medicii avertizează că acupunctura cu fire de aur nu are beneficii dovedite științific pentru pacient, dar prezintă multe riscuri cunoscute.
Firele minuscule pot provoca chisturi, pot migra în organism și pot deteriora țesutul înconjurător, dar pot și face imposibile scanările RMN care ar putea salva vieți, din cauza riscului de deplasare a metalului și de deteriorare a vaselor de sânge.
Procedura este utilizată de mult timp în țările asiatice pentru tratarea diverselor tipuri de durere și este încă populară, în special în rândul pacienților vârstnici.
Citește și: Terapia cu ventuze, „mama” leacurilor contra răcelii. Procedura este folosită încă din Antichitate
Se pare că inserarea acestor bucăți sterile de aur ar avea ca rezultat stimularea continuă în interiorul corpului și ameliorarea durerii, dar nu există dovezi ale vreunui efect pozitiv.
Dimpotrivă, adesea agravează situația, deoarece pacienții amână tratamentele medicale eficiente.