miercuri 04 februarie
EUR 5.0943 USD 4.3130
Abonează-te
Newsweek România

VIDEO Cum se tratează mielomul multiplu, un cancer rar de sânge - Newsweek LIVE

Data publicării: 24.05.2021 • 17:51

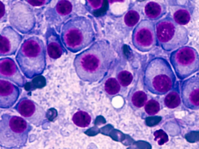
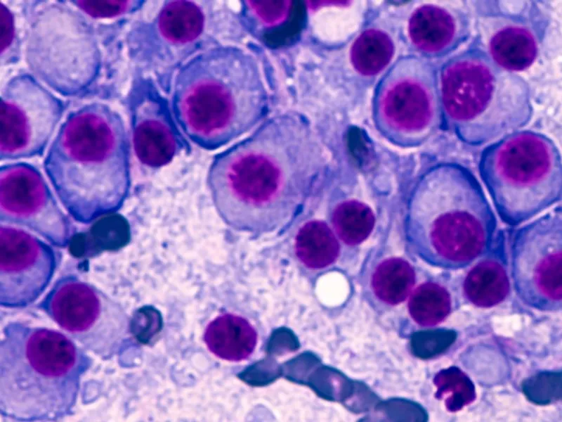
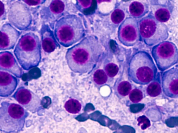
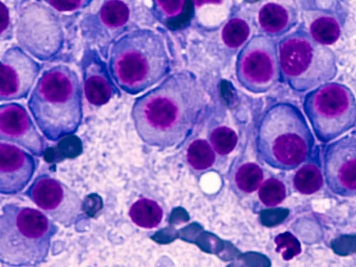
Mielomul multiplu este o formă incurabilă, rară și foarte agresivă de cancer al sângelui, care afectează măduva osoasă.

Mielomul multiplu reprezintă aproximativ un procent din toate tipurile de cancer și este a doua boală ca frecvență în ceea ce privește cancerul de sânge.

În fiecare an, sunt diagnosticaţi cu mielom multiplu aproximativ 39.000 de pacienţi în întreaga Europă şi sunt raportate 24.000 de decese.

De fiecare dată când boala progresează, șansele pacienților de a supraviețui mielomului multiplu sunt reduse, iar calitatea vieții lor se deteriorează în continuare.

Pacienții au nevoie de tratament eficient cât mai devreme posibil pentru rezultate profunde și de durată. De aceea, informațiile și măsurile suportive trebuie individualizate în funcție de nevoile fiecărui pacient.

Newsweek LIVE este transmisă pe www.newsweek.ro, pe pagina de Facebook Newsweek România și pe canalul de Youtube al revistei.

Mai multe articole din secțiunea Sănătate
Comentarii 0
Trebuie să fii autentificat pentru a comenta!

Newsweek România Abonamente

Print

Print

  • Revista tipărită
  • Acces parțial online
  • Fără reclame
Abonează-te
Print + Digital

Print + Digital

  • Revista tipărită
  • Acces total online
  • Acces arhivă
  • Fără reclame
Abonează-te
Digital

Digital

  • Acces total online
  • Acces arhivă
  • Fără reclame
Abonează-te
Newsweek România
Articole și analize exclusive pe care nu trebuie să le ratezi!
Abonează-te
Newsweek România
Newsweek România Ultima oră
Newsweek România
Ultima oră